Somos la suma de cuatro hospitales: el General, el Infantil, el de la Mujer y el de Traumatología, Rehabilitación y Quemados. Estamos ubicados en el Vall d'Hebron Barcelona Hospital Campus, un parque sanitario de referencia internacional donde la asistencia es una rama imprescindible.
El paciente es el centro y el eje de nuestro sistema. Somos profesionales comprometidos con una asistencia de calidad y nuestra estructura organizativa rompe las fronteras tradicionales entre los servicios y los colectivos profesionales, con un modelo exclusivo de áreas de conocimiento.
¿Quieres saber cómo será tu estancia en el Hospital Universitario Vall d'Hebron? Aquí encontrarás toda la información.
La apuesta por la innovación nos permite estar en vanguardia de la medicina, proporcionando una asistencia de primer nivel y adaptada a las necesidades cambiantes de cada paciente.
Es una enfermedad hematológica crónica infrecuente, de muy lenta evolución. Se caracteriza por el aumento de producción de plaquetas y su asociación con mayor riesgo de trombosis y de sangrados. En general cursa en forma asintomática y se detecta en analíticas de control rutinarias. Por el momento no existe cura para esta enfermedad, el tratamiento va dirigido a la prevención de complicaciones.
Esta incluída en el grupo de enfermedades mieloproliferativas crónicas, que son un tipo de cáncer hematológico de lenta evolución. Su causa es desconocida, aunque se conocen mutaciones asociadas a la misma en un 80% de los casos. No se hereda, pero en algunas familias puede haber varios afectados.
Se caracteriza por el aumento de producción de plaquetas y su asociación con mayor riesgo de trombosis arterial o venosa, o por lo contrario con sangrados.
Es una enfermedad crónica, no curable hasta ahora, con una evolución comunmente benigna. Se controla eficazmente durante largos periodos de tiempo y en general no dificulta las actividades diarias y el trabajo. Son pacientes que tienen mayor riesgo que la población general de desarrollar otras enfermedades hematológicas como leucemia aguda o mielofibrosis.
Contactos de interes
MPN voice http://www.mpnvoice.org.uk/
Gemfin: https://www.gemfin.es/informacion-pacientes/
Muchos pacientes no presentan síntomas al momento del diagnóstico ni durante la evolución de la enfermedad. Tambien se pueden presentar diferentes combinaciones de síntomas como fatiga, picor, sudoración nocturna, dolores oseos y cefalea. La severidad de los mismos es muy variable entre los pacientes.
Se considera una enfermedad rara, con una baja incidencia 1,5-3 casos por 100.000 habitantes. Afecta principalmente a personas entre 60-70 años y en un menor porcentaje a pacientes más jovenes. Es más frecuente en mujeres.
En general se diagnostica a partir de analíticas de control que muestran un aumento sostenido del recuento de plaquetas.
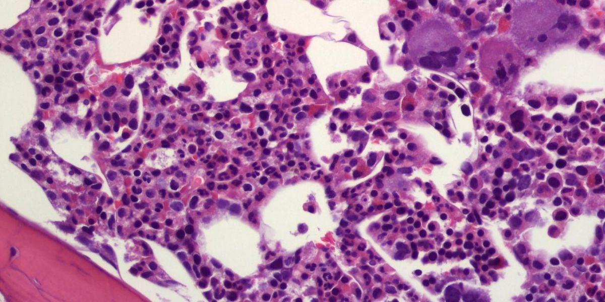
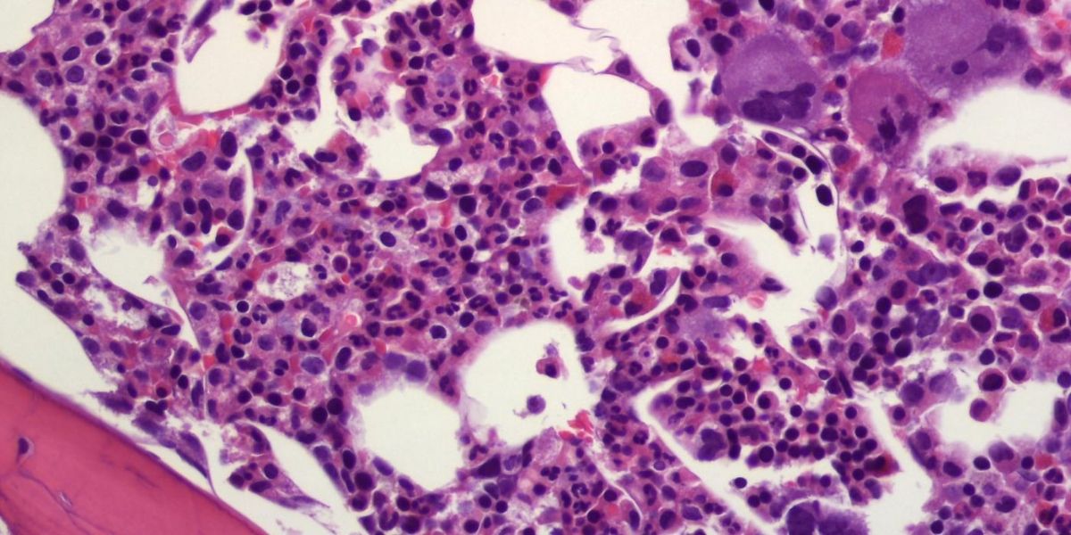
Para su diagnóstico se realiza una biopsia de médula ósea, que junto a la analítica permitirá determinar los factores de riesgo de progresión de la enfermedad, que guiarán el tratamiento.
En general se asocia a mutaciones genéticas que apoyan el diagnóstico.
No siempre está indicado la administración de antiagregantes o de fármacos para disminuir el número de plaquetas.
El objetivo del tratamiento es prevenir las complicaciones trombóticas y hemorrágicas, además del control de los síntomas relacionados con esta enfermedad. Por lo que el hematólogo en función del riesgo y los síntomas determinará el momento de iniciar el tratamiento.
Existen situaciones especiales, como el embarazo, en el que es necesario un enfoque multidisiplinar .
Se controla habitualmente con analíticas
Lo más importante es prevenir las complicaciones trombóticas asociadas a esta enfermedad, mediante el control de factores de riesgo cardiovascular (hipertensión, dislipemia, no fumar, obsidad, sedentarismo) y cumpliendo el tratamiento recomendado por su hematólogo.
La aceptación de estas condiciones supone que dais el consentimiento al tratamiento de vuestros datos personales para la prestación de los servicios que solicitáis a través de este portal y, si procede, para realizar las gestiones necesarias con las administraciones o entidades públicas que intervengan en la tramitación. Podéis ejercer los derechos mencionados dirigiéndoos por escrito a web@vallhebron.cat, indicando claramente en el asunto “Ejercicio de derecho LOPD”. Responsable: Hospital Universitario Vall d’Hebron (Instituto Catalán de la Salud). Finalidad: Suscripción al boletín del Vall d’Hebron Barcelona Hospital Campus, donde recibiréis noticias, actividades e información de interés. Legitimación: Consentimiento del interesado. Cesión: Sí procede, VHIR. No se prevé ninguna otra cesión. No se prevé transferencia internacional de datos personales. Derechos: Acceso, rectificación, supresión y portabilidad de los datos, así como limitación y oposición a su tratamiento. El usuario puede revocar su consentimiento en cualquier momento. Procedencia: El propio interesado. Información adicional: La información adicional se encuentra en https://hospital.vallhebron.com/es/politica-de-proteccion-de-datos.