Somos la suma de cuatro hospitales: el General, el Infantil, el de la Mujer y el de Traumatología, Rehabilitación y Quemados. Estamos ubicados en el Vall d'Hebron Barcelona Hospital Campus, un parque sanitario de referencia internacional donde la asistencia es una rama imprescindible.
El paciente es el centro y el eje de nuestro sistema. Somos profesionales comprometidos con una asistencia de calidad y nuestra estructura organizativa rompe las fronteras tradicionales entre los servicios y los colectivos profesionales, con un modelo exclusivo de áreas de conocimiento.
¿Quieres saber cómo será tu estancia en el Hospital Universitario Vall d'Hebron? Aquí encontrarás toda la información.
La apuesta por la innovación nos permite estar en vanguardia de la medicina, proporcionando una asistencia de primer nivel y adaptada a las necesidades cambiantes de cada paciente.
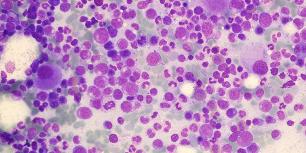
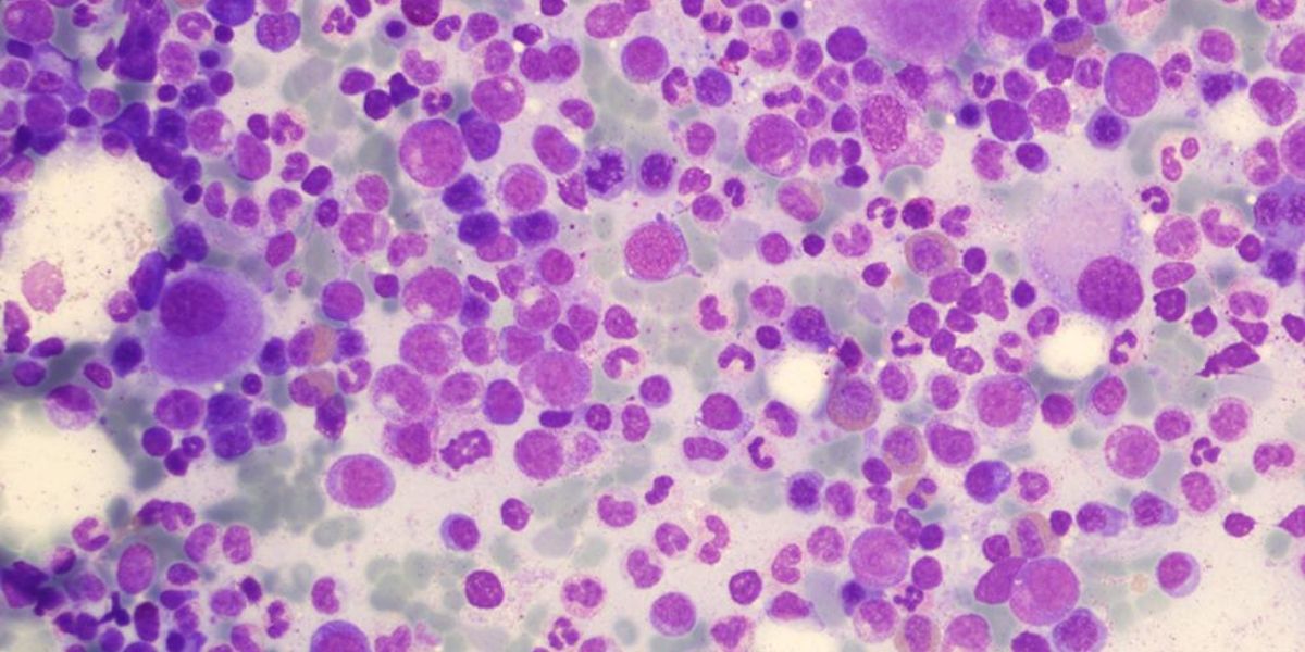
Son un grupo heterogéneo de neoplasias de las células madre de la sangre que se caracterizan por una hematopoyesis (proceso de fabricación de los elementos de la sangre) alterada que se traduce en una médula ósea normo o hipercelular pero que debido a una elevada muerte intramedular, las células sanguíneas en la periferia son escasas (citopenias) y morfológicamente anómalas (displasia).
Los pacientes con SMD presentan un curso clínico variable y un riesgo incrementado de evolución a leucemia aguda dependiendo del subtipo de SMD.
Pueden aparecer de novo o ser secundarios a tratamientos citotóxicos o a la radioterapia.
Es frecuente que los pacientes con SMD no presenten ningún síntoma y que el diagnóstico se realice como consecuencia de un control analítico. Sin embargo, cuando aparecen síntomas, lo más frecuente es que estos sean secundarios a las citopenias. El más habitual es astenia, palidez, palpitaciones o sensación de falta de aire con el esfuerzo debido a la disminución de la hemoglobina (anemia). En ocasiones, pueden presentar infecciones a consecuencia de falta de glóbulos blancos (neutropoenia) o sangrado por cifra baja de plaquetas (plaquetopenia).
Estos síntomas no son específicos de la enfermedad, por lo que ante la presencia de los mismos de manera persistente debe consultar al médico de atención primaria.
Los SMD no son enfermedades frecuentes. Se detectan cada año 3 a 4 casos nuevos por cada 100.000 habitantes. Es más frecuente en pacientes a partir de los 65 años de edad (75 casos/100000 hab.) y son dos veces más frecuentes en hombres que en mujeres.
El proceso diagnóstico se inicia con una analítica en la que se observará citopenias. Una vez se descartan otras causas que puedan justificar estas citopenias, se realizará un estudio medular mediante un aspirado de la médula ósea (órgano responsable de la fabricación de los elementos de la sangre).
El aspirado medular consiste en una punción en el hueso esternal o en uno de los huesos de la pelvis, realizado con aguja fina bajo anestesia local. Se extraen unos 4-10 ml de sangre medular mediante aspiración. En contadas ocasiones es necesaria la extracción de un cilindro óseo mediante punción-biopsia con una aguja gruesa (trucut). En ocasiones, es necesario repetir la prueba pasado un tiempo para confirmar el diagnóstico.
El tratamiento dependerá de las características biológicas de la enfermedad y del estado general del paciente.
Se basa en:
1. Tratamiento de soporte mediante trasfusiones sanguíneas.
2. Tratamiento mediante fármacos que intentan restaurar el correcto funcionamiento de la médula ósea.
3. Trasplante de médula ósea. Consiste en sustituir la médula ósea enferma por la de una persona sana compatible inmunológicamente. Esta opción es muy agresiva lo que hace que solo se pueda ofrecer a un determinado grupo de pacientes jóvenes, con buen estado físico y afectos de un grupo concreto de SMD.
4. Ensayos clínicos. Se trata de estudios que utilizan fármacos nuevos pero con eficacia comprobada en este grupo de enfermedades.
La aceptación de estas condiciones supone que dais el consentimiento al tratamiento de vuestros datos personales para la prestación de los servicios que solicitáis a través de este portal y, si procede, para realizar las gestiones necesarias con las administraciones o entidades públicas que intervengan en la tramitación. Podéis ejercer los derechos mencionados dirigiéndoos por escrito a web@vallhebron.cat, indicando claramente en el asunto “Ejercicio de derecho LOPD”. Responsable: Hospital Universitario Vall d’Hebron (Instituto Catalán de la Salud). Finalidad: Suscripción al boletín del Vall d’Hebron Barcelona Hospital Campus, donde recibiréis noticias, actividades e información de interés. Legitimación: Consentimiento del interesado. Cesión: Sí procede, VHIR. No se prevé ninguna otra cesión. No se prevé transferencia internacional de datos personales. Derechos: Acceso, rectificación, supresión y portabilidad de los datos, así como limitación y oposición a su tratamiento. El usuario puede revocar su consentimiento en cualquier momento. Procedencia: El propio interesado. Información adicional: La información adicional se encuentra en https://hospital.vallhebron.com/es/politica-de-proteccion-de-datos.